Año 2025 / Volumen 36 / Número 1

Artículos Originales

Correlación entre el grosor de la fascia plantar, la función del pie y el nivel de actividad física en hombres con fasciopatía plantar
Correlation between plantar fascia thickness, foot function, and physical activity level in men with plantar fasciopathy

Rev. Esp. Pod. 2025; 36(1): 29-34 / DOI: 10.20986/revesppod.2025.1720/2024

Rubén Montes Salas, Ramón Mahillo Durán, José Manuel Castillo López


RESUMEN

Objetivos: Este estudio tiene como objetivo investigar la relación entre el grosor de la fascia plantar y las múltiples variables clínicas y antropométricas específicas de los hombres diagnosticados con fascitis plantar.
Pacientes y métodos: Se seleccionaron aleatoriamente 44 pies de pacientes masculinos. El grosor de la fascia plantar se midió mediante ecografía, analizando su correlación con la intensidad del dolor, el deterioro funcional, la altura, la edad, el peso, la biconvexidad de la fascia plantar, la duración de la enfermedad, la recurrencia de la fascitis plantar y los niveles de actividad física.
Resultados: El grosor promedio de la fascia plantar fue de 5.97 ± 1.08 mm. Los predictores significativos de un mayor grosor fueron la ausencia de tratamiento previo, menor altura, puntuaciones más altas en el Índice de Función del Pie (FFI) y una menor duración de la enfermedad. Además, el grosor aumentó en hombres con morfología biconvexa de la fascia y en deportistas, posiblemente por el impacto de la actividad física.
Conclusiones: Este estudio aporta información sobre los factores asociados al grosor de la fascia plantar en hombres, destacando la importancia de la evaluación clínica y ecográfica para desarrollar estrategias de manejo más específicas y efectivas.



ABSTRACT

Objectives: This study aims to investigate the relationship between plantar fascia thickness and clinical and anthropometric variables specific to men diagnosed with plantar fasciitis.
Patients and methods: A total of 44 feet from male patients were randomly selected. Plantar fascia thickness was measured using ultrasound imaging and correlated with pain intensity, functional impairment, height, age, weight, plantar fascia biconvexity, disease duration, recurrence of plantar fasciitis, and daily physical activity levels.
Results: The average plantar fascia thickness was 5.97 ± 1.08 mm. Significant predictors included the absence of prior treatment, shorter height, higher Foot Function Index (FFI) scores, and shorter disease duration. Increased thickness was observed in men with biconvex fascia morphology and athletes, likely due to the impact of physical activity.
Conclusions: This study highlights the multifactorial relationship between plantar fascia thickness and clinical variables in men. These findings support the development of more targeted diagnostic and therapeutic strategies.





Artículo Completo


10.20986/revesppod.2025.1720/2024
ORIGINAL

Correlación entre el grosor de la fascia plantar, la función del pie y el nivel de actividad física en hombres con fasciopatía plantar
Correlation between plantar fascia thickness, foot function, and physical activity level in men with plantar fasciopathy

Rubén Montes Salas1
 Ramón Mahillo Durán1
José Manuel Castillo López1

1Departamento de Podología. Universidad de Sevilla, España

Resumen

Objetivos: Este estudio tiene como objetivo investigar la relación entre el grosor de la fascia plantar y las múltiples variables clínicas y antropométricas específicas de los hombres diagnosticados con fascitis plantar.
Pacientes y métodos: Se seleccionaron aleatoriamente 44 pies de pacientes masculinos. El grosor de la fascia plantar se midió mediante ecografía, analizando su correlación con la intensidad del dolor, el deterioro funcional, la altura, la edad, el peso, la biconvexidad de la fascia plantar, la duración de la enfermedad, la recurrencia de la fascitis plantar y los niveles de actividad física.
Resultados: El grosor promedio de la fascia plantar fue de 5.97 ± 1.08 mm. Los predictores significativos de un mayor grosor fueron la ausencia de tratamiento previo, menor altura, puntuaciones más altas en el Índice de Función del Pie (FFI) y una menor duración de la enfermedad. Además, el grosor aumentó en hombres con morfología biconvexa de la fascia y en deportistas, posiblemente por el impacto de la actividad física.
Conclusiones: Este estudio aporta información sobre los factores asociados al grosor de la fascia plantar en hombres, destacando la importancia de la evaluación clínica y ecográfica para desarrollar estrategias de manejo más específicas y efectivas.

Palabras clave: Fascitis plantar, grosor de la fascia plantar, ecografía, actividad física, pie, hombre

Abstract

Objectives: This study aims to investigate the relationship between plantar fascia thickness and clinical and anthropometric variables specific to men diagnosed with plantar fasciitis.
Patients and methods: A total of 44 feet from male patients were randomly selected. Plantar fascia thickness was measured using ultrasound imaging and correlated with pain intensity, functional impairment, height, age, weight, plantar fascia biconvexity, disease duration, recurrence of plantar fasciitis, and daily physical activity levels.
Results: The average plantar fascia thickness was 5.97 ± 1.08 mm. Significant predictors included the absence of prior treatment, shorter height, higher Foot Function Index (FFI) scores, and shorter disease duration. Increased thickness was observed in men with biconvex fascia morphology and athletes, likely due to the impact of physical activity.
Conclusions: This study highlights the multifactorial relationship between plantar fascia thickness and clinical variables in men. These findings support the development of more targeted diagnostic and therapeutic strategies.

Keywords: Plantar fasciitis, plantar fascia thickness, ultrasound, physical activity, foot, men

Correspondencia
Rubén Montes Salas
rubmonsal@alum.us.es

Recibido: 01-12-2024
Aceptado: 22-01-2025

Introducción

La fascitis plantar es una de las causas más comunes de dolor en el talón(1), con características que varían entre hombres y mujeres. Revisando la literatura, pocos estudios previos se han centrado en la diferencia de esta patología según el sexo y sus particularidades biomecánicas y funcionales. Factores como una diferente densidad de tejido conectivo, diferencias hormonales y patrones de actividad física propios de cada sexo podrían influir significativamente en la progresión de esta condición.
Se estima que alrededor del 10 % de las personas padecerán en algún momento de su vida fascitis plantar. La incidencia de esta afección aumenta con la edad, siendo más frecuente entre los 40 y los 60 años. Sin embargo, no hay consenso claro sobre si afecta más a un sexo que al otro(2), aunque algunos estudios presentan un predominio femenino a masculino de 2:1(1,3) en la prevalencia de la enfermedad. Estos datos subrayan la importancia de la fascitis plantar como una condición prevalente que afecta significativamente la calidad de vida de quienes la padecen.
El dolor asociado con la fascitis plantar suele reproducirse mediante la palpación del tubérculo inferomedial del calcáneo, que corresponde al lugar de inserción de la fascia plantar. Además, la dorsiflexión pasiva del pie y de los dedos puede exacerbar el dolor característico de esta condición. En este contexto, la prueba de Windlass, también conocida como test de Jack, suele ser positiva. Esta maniobra se considera positiva cuando provoca dolor, lo que refuerza el diagnóstico clínico de la fascitis plantar(4).
Se ha estudiado que la fascitis plantar está causada por la degeneración de la fascia plantar como resultado de micro desgarros repetitivos debido a traumatismos o sobrecargas repetidos, más que a una reacción inflamatoria primaria(5), por lo que es acuñado en la literatura el término fasciosis plantar y más recientemente fasciopatía plantar (FP). Actualmente se desconoce la causa exacta de la FP, aunque se cree que es multifactorial, con una biomecánica anormal y un retraso en la cicatrización del colágeno de la fascia como posibles contribuyentes(6).
La FP se asocia con múltiples factores de riesgo. Las actividades físicas de alto impacto, como correr largas distancias, el ballet o la danza aeróbica, incrementan la probabilidad de desarrollar esta afección al generar mayor presión sobre el talón y los tejidos adyacentes. Asimismo, las anomalías biomecánicas del pie, como los pies planos, los arcos elevados o un patrón de marcha inadecuado, afectan la distribución del peso corporal, aumentando la tensión sobre la fascia plantar. El sobrepeso y la obesidad constituyen factores importantes, ya que el exceso de peso corporal genera una carga adicional en la fascia. Además, las ocupaciones que requieren estar de pie o caminar durante periodos prolongados, especialmente sobre superficies duras, también incrementan el riesgo. Finalmente, el uso de calzado inadecuado, como zapatos sin soporte adecuado para el arco, puede contribuir al desarrollo de la condición(2).
La mayoría de los pacientes buscan tratamiento dentro del primer año y, en la gran mayoría de los casos, el dolor se resuelve dentro del primer año. En la literatura médica se han propuesto múltiples tratamientos, y la mayoría de los especialistas optan por iniciar un tratamiento conservador, que es efectivo en el 70-80 % de los casos. Los enfoques más utilizados son la fisioterapia, la ortesis plantar, el estiramiento del gastrocnemio y las inyecciones de corticosteroides(7).
Los estudios mostraron una precisión y eficacia similares de la ecografía musculoesquelética en la evaluación morfológica y el diagnóstico de la fascitis plantar en comparación con la resonancia magnética(8) e incluso mejor siguiendo otras referencias(9).. Generalmente se prefiere la ecografía debido a sus ciertas ventajas sobre la resonancia magnética, como su carácter no invasivo, su menor coste y su buena tolerancia por los pacientes. En la ecografía se han informado engrosamiento de la fascia plantar y anomalías tisulares, cambios hipoecoicos, acumulaciones de líquido perifascial y espolón óseo subcalcáneo(8,9).
Parece que los hombres y las mujeres sanos tienen un grosor de la fascia plantar similar. Sin embargo, a medida que se desarrolla la FP, los hombres tienden a desarrollar fascias plantares más gruesas que las mujeres, lo que podría tener implicaciones para el tratamiento elegido por el terapeuta(10).
En pacientes con fascitis plantar, la ecografía puede revelar, en algunos casos, una leve hiperemia intrafascial o perifascial. Sin embargo, en la mayoría de los casos, no se observa un incremento significativo en la vascularización de los tejidos blandos cuando se utiliza ecografía doppler de rutina. Por lo tanto, una señal doppler positiva no debe ser considerada indispensable para establecer el diagnóstico de esta patología. Más bien, dicha señal puede ser una herramienta complementaria para personalizar y optimizar el plan terapéutico según las características individuales de cada paciente(11).
Las diferencias entre sexos en la manifestación clínica y progresión de la FP han sido poco exploradas. Estudios previos han identificado que los hombres pueden presentar grosor fascial mayor y diferentes patrones biomecánicos en comparación con las mujeres. El objetivo de este trabajo se centra en entender estas diferencias específicas del sexo masculino, con un enfoque en cómo las variables antropométricas, funcionales y de actividad física contribuyen a las características clínicas de la FP en hombres.

Pacientes y método

El presente estudio supone un estudio de serie de casos transversal sobre pacientes con FP.

Población de estudio

Para ser incluidos, los pacientes debían ser hombres de más de 18 años. Los pacientes también debían presentar síntomas compatibles con el cuadro de FP y un engrosamiento de la fascia plantar mayor a 4 milímetros(12) medido ecográficamente, además de aceptar su participación en el estudio.
Los criterios de exclusión fueron padecer enfermedades sistémicas o alteraciones morfofuncionales no podológicas que pudieran tener repercusión en tobillo y pie y que pudieran dar lugar a discrepancias clínicas importantes en miembros inferiores, disimetrías o escoliosis clínica evidente, haber recibido cualquier tratamiento (médico, ortopédico y/o invasivo) en el pie en los últimos tres meses,  FP asociada con otra afección, como atrapamiento de nervio, y dificultades por parte del paciente en la comprensión de las indicaciones a seguir durante el tratamiento.

Variables utilizadas

A todos los pacientes se les realizó una evaluación clínica y una evaluación ecográfica. La evaluación clínica se basó en una escala analógica visual (EVA) (13) (0-10) y el índice de función del pie (FFI) (14,15), que evalúa la función en una escala de 0 a 100. También se clasificó a los sujetos como sedentarios, activos o deportistas en función a su actividad física diaria, así como si era la primera vez que aparecía la enfermedad, era una recidiva o era crónica(16). También se evaluó el sexo, el peso y la talla, la presencia de vascularización en la fascia plantar visualizada con ecografía en el momento de la evaluación inicial y la forma biconvexa(17) o aplanada de la fascia plantar (Figura 1).


Figura 1. Fascia plantar con morfología normal a la izquierda y fascia plantar con morfología biconvexa a la derecha.

Todos los pacientes habían experimentado los síntomas clásicos de la FP, incluido el dolor al dar los primeros pasos después de despertarse o después de permanecer sentado durante mucho tiempo. Los pacientes sintieron dolor a la palpación de la fascia plantar proximal e informaron que el dolor empeoraba a medida que avanzaba el día.
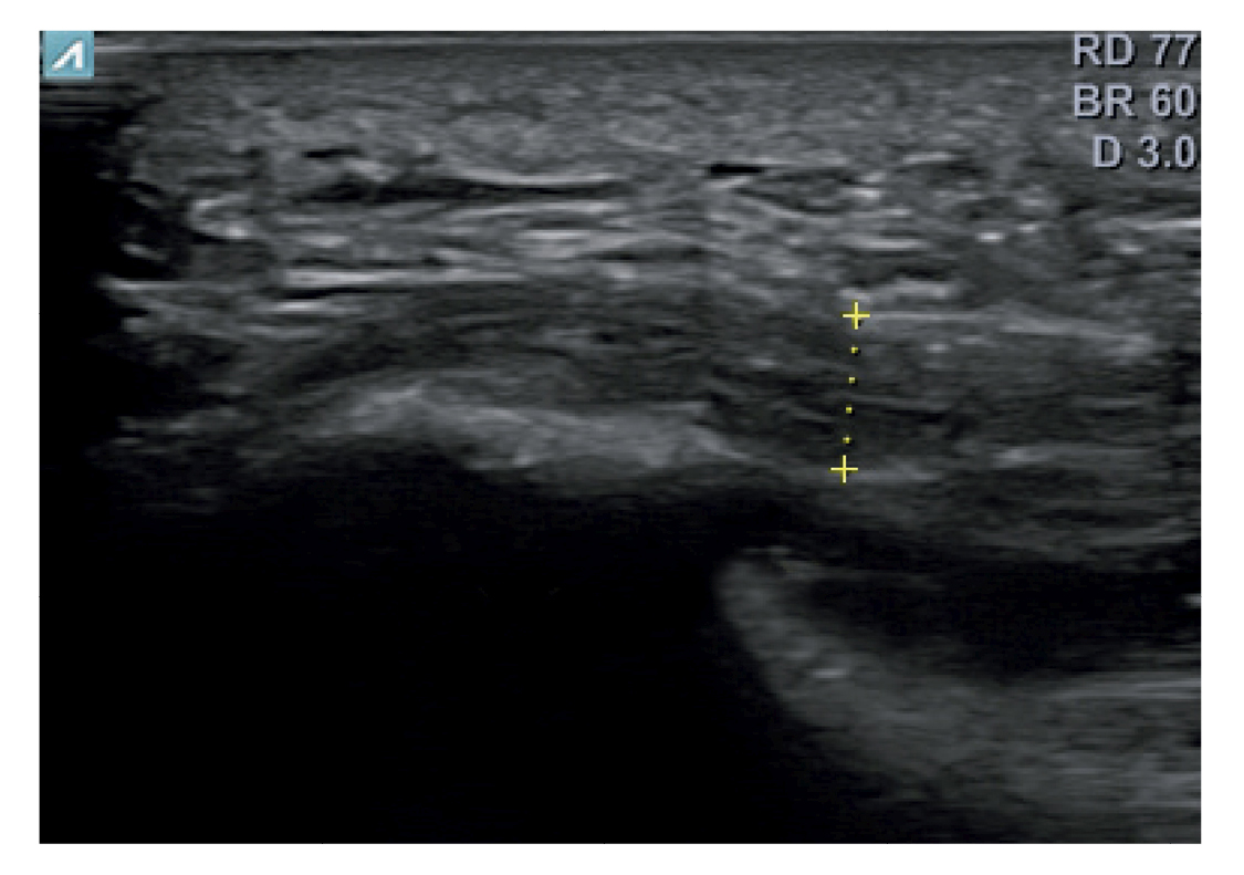
El diagnóstico se estableció en base a los síntomas y se confirmó mediante ecografía con equipo de alta resolución (Alpinion Ecube 9, ALPINION MEDICAL SYSTEMS Co., Ltd., República de Korea) con transductor lineal de 6 a 12 MHz (Figuras 2 y 3).


Figura 2. Investigador con la sonda lineal para la medición del grosor de la fascia plantar.


Figura 3. Área de medición del grosor de la fascia plantar. La línea punteada corresponde con la medición del grosor.

Análisis estadístico

Se realizó un análisis descriptivo para todos los datos cuantitativos y cualitativos. El estudio de la normalidad de las variables se efectuó a través de la prueba de Shapiro-Wilk, siguiendo las variables una distribución normal (p > 0.05) excepto en la variable tratamiento previo (p < 0.05) y en la masa corporal (p < 0.05). Se realizó un análisis de regresión relacionando el espesor de la fascia plantar medido por ecografía con el resto de variables analizadas en el estudio para estimar los coeficientes de la ecuación lineal. Un valor p < 0.05 se consideró estadísticamente significativo. El análisis estadístico se ha realizado utilizando el paquete estadístico IBM SPSS Statistics 25 a un nivel de confianza del 95 %.

Resultados

El total de la muestra estudiada fue de 44 pacientes. La edad media de los pacientes fue de 47.05 ± 12.34 años. La puntuación media en la escala EVA fue de 6.75 ± 1.45. La puntuación de la función en la escala FFI fue 61.49 ± 13.69. El grosor medio de la fascia plantar fue de 5.97 ± 1.08. El peso corporal medio fue de 81 ± 10.35 kilogramos y la talla de 175.09 ± 7.07 centímetros. En 15 sujetos la enfermedad apareció por primera vez, en 13 fue una recurrencia y en 16 se consideró crónica. 4 sujetos eran sedentarios, 26 eran activos y 14 eran deportistas. La duración media de la enfermedad en meses fue de 9.513 ± 6.58. Treinta y dos pacientes habían recibido tratamiento previo y 12 no. Nueve presentaron biconvexidad de la fascia plantar y 35 no (Tablas 1, 2 y 3).

En el análisis de regresión lineal múltiple, se obtuvo un coeficiente de determinación R2 = 0.517, lo que indica que el modelo explica el 51.7 % de la variabilidad del grosor de la fascia plantar. Los predictores con significancia estadística para un mayor grosor de la fascia plantar fueron, de mayor a menor importancia relativa: haber recibido tratamiento previo (0.25), la talla del paciente en centímetros (0.23), el índice de función del pie medido con la escala FFI (0.21), el tiempo de evolución de la patología en meses (0.12) y, en menor medida, el dolor percibido según la escala EVA (0.04).
El resto de las variables analizadas no mostraron significancia estadística en este modelo. Estos hallazgos resaltan la influencia combinada de factores clínicos y antropométricos en la variabilidad del grosor fascial. Específicamente, el antecedente de tratamiento previo y la talla del paciente emergen como los predictores más relevantes, mientras que el dolor percibido muestra una influencia limitada (Figura 4).

Figura 4. Importancia del predictor.

Discusión

El objetivo principal de este estudio fue analizar los factores que influyen en el grosor de la fascia plantar en pacientes con fasciopatía, evaluando específicamente el impacto de variables clínicas y antropométricas como el tratamiento previo, la talla, el FFI, el tiempo de evolución, el dolor medido con la escala EVA, la masa corporal y la biconvexidad de la fascia plantar. Los resultados principales muestran que el grosor de la fascia plantar está significativamente asociado con el antecedente de haber recibido tratamiento previo y la talla del paciente, seguidos por el FFI y el tiempo de evolución.
Los factores pronósticos en la FP se analizan con frecuencia para proporcionar información sobre la medida en que los pacientes se beneficiarán de las diferentes modalidades de tratamiento. El engrosamiento de la fascia plantar es de particular interés, ya que es una manifestación prominente y frecuente de la FP y se puede evaluar cuantitativamente. En este estudio descriptivo, el grosor medio de la fascia plantar en hombres con FP fue de 5.97 ± 1.08 mm, y los predictores significativos de un mayor grosor fascial incluyeron no haberse realizado tratamiento previo, una baja talla, una alta puntuación en la escala FFI y un corto tiempo de evolución de la enfermedad.
En individuos sanos, el grosor de la fascia plantar está estrechamente correlacionado con la edad, la altura, el peso, el índice de masa corporal y la actividad de caminar en la población general, y nuestro estudio descriptivo realizado en hombres diagnosticados de FP muestra alguna diferencia(19) como el dato de mayor grosor fascial a menor talla. El grosor de la fascia plantar se ha asociado positi­vamente con una mayor talla corporal. En nuestro estudio esta variable muestra una correlación negativa(20).
Haberse realizado un tratamiento previo mostró una correlación positiva con un menor grosor de la fascia. Asimismo, en nuestro estudio, a medida que aumentaba el grosor de la fascia plantar, los pacientes experimentaban más dolor. Los cambios en el grosor de la fascia plantar sirven como una medida objetiva válida para evaluar la eficacia de protocolos de tratamiento nuevos o existentes, y en general, a mayor grosor de la fascia, los pacientes experimentan más dolor(21). Se puede medir la eficacia de los tratamientos clínicos en la fasciopatía plantar evaluando el grosor de la fascia plantar.
Además, a medida que aumentaba el grosor de la fascia plantar, los pacientes también mostraban mayor disfunción, como se indicó por las puntuaciones más altas en la escala FFI. Esta relación ha sido estudiada previamente por otros autores, con conclusiones contradictorias en varios trabajos(22,23).
En nuestro estudio, un mayor grosor de la fascia plantar medido por ecografía se asoció con una menor duración de la enfermedad. Es decir, con una menor duración de la enfermedad, el grosor de la PF era mayor. Sin embargo, no se encontró literatura para comparar estos datos con otros estudios científicos.
La biconvexidad de la PF es una condición que ha sido raramente estudiada, en la que la estructura presenta una apariencia ovalada. En nuestro estudio, los pacientes cuyas fascias fueron clasificadas como biconvexas tenían un mayor grosor de la PF. Este dato sugiere que la biconvexidad puede estar asociada con cambios estructurales en la fascia que acompañan la progresión de la fasciopatía plantar.
En nuestro estudio, los pacientes fueron clasificados como sedentarios, activos o deportistas, según su autopercepción. Los pacientes deportistas con la enfermedad tenían un mayor grosor de la fascia plantar, una relación que ha sido estudiada en la población no afectada, alcanzando la misma conclusión(20), aunque existe literatura que no muestra una relación(24). Se necesitan más estudios sobre este tema, tanto en poblaciones afectadas como no afectadas.
Los pacientes incluidos en el estudio fueron categorizados dependiendo de si presentaban un primer episodio, una recurrencia o una condición crónica de la enfermedad. Sin embargo, no se identificaron corre­laciones significativas en esta clasificación. Cabe señalar que la definición de dolor crónico en el talón varía ampliamente en la literatura, siendo considerado crónico en algunos estudios después de un mes, en otros a partir de tres meses, y en algunos casos tras seis meses de duración(25). En nuestro estudio, los pacientes fueron clasificados como crónicos cuando presentaban una duración de síntomas superior a seis meses. Además, no se encontró una relación significativa entre la presencia de vascularización en la fasciopatía plantar, observada mediante ecografía al inicio de la evaluación, y el grosor de la fascia en hombres.
El presente estudio presenta diversas limitaciones. En primer lugar, este análisis se centró exclusivamente en pacientes masculinos diagnosticados de acuerdo con los criterios previamente descritos. La diferencia en el grosor de la fascia plantar entre hombres y mujeres asintomáticos ha sido objeto de análisis en la literatura, destacándose que, según Pascual Huerta, los hombres presentan un grosor mayor, con una diferencia promedio de 0.42 mm(26), y similar según otros autores(19,27). La presencia o ausencia de espolón subcalcáneo no fue considerada en nuestro estudio descriptivo sobre sujetos masculinos. La relación entre el espolón subcalcáneo y el dolor en el talón ha sido confirmada por múltiples metanálisis. Sin embargo, una subpoblación de individuos con espolón es completamente asintomática(28). El tamaño de la muestra de nuestro estudio es pequeño, y la precisión de la correlación realizada es baja, lo que destaca la importancia de realizar investigaciones adicionales con muestras más grandes de la población afectada por la fascitis plantar. Al ampliar la muestra a una población más diversa, podremos evaluar con mayor precisión si los hallazgos y conclusiones de nuestro estudio son extrapolables a la población general. Además, será crucial investigar posibles diferencias en la presentación de la fascitis plantar entre hombres y mujeres, lo que podría tener importantes implicaciones para el diagnóstico y tratamiento de la enfermedad.
Los estudios posteriores podrían incluir análisis comparativos entre grupos de hombres y mujeres para determinar si existen disparidades en la prevalencia, severidad o respuesta al tratamiento de la fascitis plantar. Estos análisis ayudarán a identificar posibles factores de riesgo específicos de cada sexo y a desarrollar enfoques de tratamiento más personalizados y efectivos. Además, podría ser importante considerar la inclusión de más variables demográficas y clínicas en estudios futuros para obtener una comprensión más completa de los factores que influyen en el desarrollo y progresión de la fasciopatía plantar.
En conclusión, en el presente estudio  se identificaron los principales factores asociados al grosor de la fascia plantar en pacientes varones con FP. Los resultados muestran que el antecedente de tratamiento previo y la talla son los predictores más relevantes, seguidos por el FFI y el tiempo de evolución, mientras que el dolor percibido según la escala EVA y otras variables como la masa corporal y la biconvexidad tuvieron una influencia limitada. Estos hallazgos subrayan la importancia de considerar factores clínicos y antropométricos para comprender las variaciones en el grosor de la fascia plantar y orientar intervenciones diagnósticas y terapéuticas. Además, los datos obtenidos refuerzan la utilidad de combinar herramientas clínicas y ecográficas para valorar el impacto de diferentes variables en esta condición. Futuras investigaciones deberían enfocarse en validar estos resultados en cohortes más amplias y en explorar intervenciones específicas para optimizar los resultados clínicos en pacientes con FP.

Declaración ética y consentimiento para participar

La aprobación ética fue otorgada por el Comité de Ética en Investigación del Hospital Universitario de Nuestra Señora de Valme, bajo el número de protocolo 2093-N-21. Se siguieron los criterios éticos y humanos establecidos en la Declaración de Helsinki18. Se obtuvo el consentimiento informado y firmado de todos los participantes del estudio.
Disponibilidad de datos y materiales
Los conjuntos de datos utilizados y analizados durante el estudio están disponibles a través del autor correspondiente, previa solicitud razonable.

Contribución de los autores

Concepción y diseño del estudio: RMS, RMD.
Recogida de datos: RMS, RMD.
Análisis e interpretación de los resultados: RMD, JMCL.
Creación, redacción y preparación del boceto: RMS, JMCL.
Revisión final: JMCL.

Conflictos de intereses

Los autores declaran que no tienen conflictos de intereses.

Financiación

No aplicable.

Bibliografía

  1. McNally EG, Shetty S. Plantar fascia: imaging diagnosis and guided treatment. Semin Musculoskelet Radiol. 2010;14(3):334-43. DOI: 10.1055/s-0030-1254522.
  2. Riddle DL, Schappert SM. Volume of ambulatory care visits and patterns of care for patients diagnosed with plantar fasciitis: a national study of medical doctors. Foot Ankle Int. 2004;25(5):303-10. DOI: 10.1177/107110070402500505.
  3. Rasenberg N, Bierma-Zeinstra SMA, Bindels PJ, van Middelkoop M, van der Lei J. Incidence, prevalence, and management of plantar heel pain: a retrospective cohort study in Dutch primary care. Br J Gen Pract. 2019;69(688):E801-8. DOI: 10.3399/bjgp19X706061.
  4. Alshami AM, Babri AS, Souvlis T, Coppieters MW. Biomechanical evaluation of two clinical tests for plantar heel pain: the dorsiflexion-eversion test for tarsal tunnel syndrome and the windlass test for plantar fasciitis. Foot Ankle Int. 2007;28(4):499-505.
  5. Lemont H, Ammirati KM, Usen N. Plantar fasciitis: a degenerative process (fasciosis) without inflammation. J Am Podiatr Med Assoc. 2003;93(3):234-7.
  6. Lee WCC, Wong WY, Kung E, Leung AKL. Effectiveness of adjustable dorsiflexion night splint in combination with accommodative foot orthosis on plantar fasciitis. J Rehabil Res Dev. 2012;49(10):1557-64.
  7. Rhim HC, Kwon J, Park J, Borg-Stein J, Tenforde AS. A systematic review of systematic reviews on the epidemiology, evaluation, and treatment of plantar fasciitis. Life. 2021;11(12):1287.
  8. Sabir N, Demirlenk S, Yagci B, Karabulut N, Cubukcu S. Clinical utility of sonography in diagnosing plantar fasciitis. J Ultrasound Med. 2005;24(8):1041-8.
  9. Radwan A, Wyland M, Applequist L, Bolowsky E, Klingensmith H, Virag I. Ultrasonography, an effective tool in diagnosing plantar fasciitis: a systematic review of diagnostic trials. Int J Sports Phys Ther. 2016;11(5):663-71.
  10. Granado MJ, Lohman EB, Daher NS, Gordon KE. Effect of Gender, Toe Extension Position, and Plantar Fasciitis on Plantar Fascia Thickness. Foot Ankle Int. 2019;40(4):439-46. DOI: 10.1177/1071100718811631.
  11. McMillan AM, Landorf KB, Gregg JM, De Luca J, Cotchett MP, Menz HB. Hyperemia in plantar fasciitis determined by power Doppler ultrasound. J Orthop Sports Phys Ther. 2013;43(12):875-80. DOI: 10.2519/jospt.2013.4810.
  12. McMillan AM, Landorf KB, Barrett JT, Menz HB, Bird AR. Diagnostic imaging for chronic plantar heel pain: A systematic review and meta-analysis. J Foot Ankle Res. 2009;2(1):1-11. DOI: 10.1186/1757-1146-2-32.
  13. Thong ISK, Jensen MP, Miró J, Tan G. The validity of pain intensity measures: what do the NRS, VAS, VRS, and FPS-R measure? Scand J Pain. 2018;18(1):99-107. DOI: 10.1515/sjpain-2018-0012.
  14. Paez-Moguer J, Budiman-Mak E, Cuesta-Vargas AI. Cross-cultural adaptation and validation of the Foot Function Index to Spanish. Foot Ankle Surg 2014;20(1):34-9. DOI: 10.1016/j.fas.2013.09.005.
  15. Budiman-Mak E, Conrad KJ, Roach KE. The Foot Function Index: a measure of foot pain and disability. J Clin Epidemiol. 1991;44(6):561-70. DOI: 10.1016/0895-4356(91)90220-4.
  16. Pardo y Camps F. Eficacia de la infiltración de Plasma Rico en Plaquetas (PRP) en pacientes diagnosticados del Síndrome de la Fascia Plantar (SFP) desde el punto de vista clínico y functional [Tesis de master]. Universidad Complutense de Madrid]; 2016.
  17. Fleischer AE, Albright RH, Crews RT, Kelil T, Wrobel JS. Prognostic Value of Diagnostic Sonography in Patients With Plantar Fasciitis. J Ultrasound Med. 2015;34(10):1729-35. DOI: 10.7863/ultra.15.14.10062.
  18. World Medical Association Declaration of Helsinki: ethical principles for medical research involving human subjects. JAMA. 2013;310(20):2191-4. DOI: 10.1001/jama.2013.281053.
  19. Narindra L, Herinirina N, Rakotonirina H, Andrianah G, Ranoharison H, Randriamboavonjy R, et al. Thickness of the Plantar Fascia in Asymptomatic Subjects. J Med Ultrasound. 2019;27(3):121-3. DOI: 10.4103/JMU.JMU_72_18.
  20. Abul K, Ozer D, Sakizlioglu SS, Buyuk AF, Kaygusuz MA. Detection of normal plantar fascia thickness in adults via the ultrasonographic method. J Am Podiatr Med Assoc. 2015;105(1):8-13. DOI: 10.7547/8750-7315-105.1.8.
  21. Mahowald S, Legge BS, Grady JF. The correlation between plantar fascia thickness and symptoms of plantar fasciitis. J Am Podiatr Med Assoc. 2011;101(5):385-9.
  22. Gamba C, Sala-Pujals A, Perez-Prieto D, Ares-Vidal J, Solano-Lopez A, Gonzalez-Lucena G, et al. Relationship of Plantar Fascia Thickness and Preoperative Pain, Function, and Quality of Life in Recalcitrant Plantar Fasciitis. Foot Ankle Int. 2018;39(8):930-4. DOI: 10.1177/1071100718772041.
  23. Mahowald S, Legge BS, Grady JF. The correlation between plantar fascia thickness and symptoms of plantar fasciitis. J Am Podiatr Med Assoc. 2011;101(5):385-9. DOI: 10.7547/1010385.
  24. Uzel M, Cetinus E, Ekerbicer HC, Karaoguz A. The influence of athletic activity on the plantar fascia in healthy young adults. J Clin Ultrasound. 2006;34(1):17-21. DOI: 10.1002/jcu.20178.
  25. Koc TA, Bise CG, Neville C, Carreira D, Martin RL, McDonough CM. Heel Pain - Plantar Fasciitis: Revision 2023. J Orthop Sports Phys Ther. 2023;53(12):CPG1-39. DOI: 10.2519/jospt.2023.0303.
  26. Pascual Huerta J, Alarcónn García JM. Effect of gender, age and anthropometric variables on plantar fascia thickness at different locations in asymptomatic subjects. Eur J Radiol. 2007;62(3):449-53.
  27. Gadalla N, Kichouh M, Boulet C, Machiels F, De Mey J, De Maeseneer M. Sonographic evaluation of the plantar fascia in asymptomatic subjects. JBR-BTR. 2014;97(5):271-3. DOI: 10.5334/jbr-btr.1326.
  28. Kirkpatrick J, Yassaie O, Mirjalili SA. The plantar calcaneal spur: a review of anatomy, histology, etiology and key associations. J Anat. 2017;230(6):743-51. DOI: 10.1111/joa.12607.

Nuevo comentario

Código de seguridad:
CAPTCHA code image
Speak the codeChange the code
 

Comentarios

No hay comentarios para este artículo.

Bibliografía

1. McNally EG, Shetty S. Plantar fascia: imaging diagnosis and guided treatment. Semin Musculoskelet Radiol. 2010 Sep;14(3):334-43.
2. Riddle DL, Schappert SM. Volume of ambulatory care visits and patterns of care for patients diagnosed with plantar fasciitis: a national study of medical doctors. Foot Ankle Int. 2004;25(5):303-10.
3. Rasenberg N, Bierma-Zeinstra SMA, Bindels PJ, van Middelkoop M, van der Lei J. Incidence, prevalence, and management of plantar heel pain: a retrospective cohort study in Dutch primary care. Br J Gen Pract. 2019;69(688):E801-8.
4. Alshami AM, Babri AS, Souvlis T, Coppieters MW. Biomechanical evaluation of two clinical tests for plantar heel pain: the dorsiflexion-eversion test for tarsal tunnel syndrome and the windlass test for plantar fasciitis. Foot Ankle Int. 2007;28(4):499-505.
5. Lemont H, Ammirati KM, Usen N. Plantar fasciitis: a degenerative process (fasciosis) without inflammation. J Am Podiatr Med Assoc. 2003;93(3):234-7.
6. Lee WCC, Wong WY, Kung E, Leung AKL. Effectiveness of adjustable dorsiflexion night splint in combination with accommodative foot orthosis on plantar fasciitis. J Rehabil Res Dev. 2012;49(10):1557-64.
7. Rhim HC, Kwon J, Park J, Borg-Stein J, Tenforde AS. A systematic review of systematic reviews on the epidemiology, evaluation, and treatment of plantar fasciitis. Life. 2021;11(12):1287.
8. Sabir N, Demirlenk S, Yagci B, Karabulut N, Cubukcu S. Clinical utility of sonography in diagnosing plantar fasciitis. J Ultrasound Med. 2005;24(8):1041-8.
9. Radwan A, Wyland M, Applequist L, Bolowsky E, Klingensmith H, Virag I. Ultrasonography, an effective tool in diagnosing plantar fasciitis: a systematic review of diagnostic trials. Int J Sports Phys Ther. 2016;11(5):663-671.
10. Granado MJ, Lohman EB, Daher NS, Gordon KE. Effect of Gender, Toe Extension Position, and Plantar Fasciitis on Plantar Fascia Thickness. Foot Ankle Int. 2019;40(4):439-46.
11. McMillan AM, Landorf KB, Gregg JM, De Luca J, Cotchett MP, Menz HB. Hyperemia in plantar fasciitis determined by power Doppler ultrasound. J Orthop Sports Phys Ther. 2013;43(12):875-80.
12. McMillan AM, Landorf KB, Barrett JT, Menz HB, Bird AR. Diagnostic imaging for chronic plantar heel pain: A systematic review and meta-analysis. J Foot Ankle Res. 2009;2(1):1-11.
13. Thong ISK, Jensen MP, Miró J, Tan G. The validity of pain intensity measures: what do the NRS, VAS, VRS, and FPS-R measure? Scand J Pain. 2018;18(1):99-107.
14. Paez-Moguer J, Budiman-Mak E, Cuesta-Vargas AI. Cross-cultural adaptation and validation of the Foot Function Index to Spanish. Foot and Ankle Surgery. 2014;20(1):34-9.
15. Budiman-Mak E, Conrad KJ, Roach KE. The Foot Function Index: a measure of foot pain and disability. J Clin Epidemiol. 1991;44(6):561-70.
16. Pardo y Camps F. Eficacia de la infiltración de Plasma Rico en Plaquetas (PRP) en pacientes diagnosticados del Síndrome de la Fascia Plantar (SFP) desde el punto de vista clínico y functional [Tesis de master]. Universidad Complutense de Madrid]; 2016.
17. Fleischer AE, Albright RH, Crews RT, Kelil T, Wrobel JS. Prognostic Value of Diagnostic Sonography in Patients With Plantar Fasciitis. J Ultrasound Med. 2015;34(10):1729-35.
18. World Medical Association Declaration of Helsinki: ethical principles for medical research involving human subjects. JAMA. 2013;310(20):2191-4.
19. Narindra L, Herinirina N, Rakotonirina H, Andrianah G, Ranoharison H, Randriamboavonjy R, et al. Thickness of the Plantar Fascia in Asymptomatic Subjects. J Med Ultrasound. 2019;27(3):121-3.
20. Abul K, Ozer D, Sakizlioglu SS, Buyuk AF, Kaygusuz MA. Detection of normal plantar fascia thickness in adults via the ultrasonographic method. J Am Podiatr Med Assoc. 2015;105(1):8-13.
21. Mahowald S, Legge BS, Grady JF. The correlation between plantar fascia thickness and symptoms of plantar fasciitis. J Am Podiatr Med Assoc. 2011;101(5):385-9.
22. Gamba C, Sala-Pujals A, Perez-Prieto D, Ares-Vidal J, Solano-Lopez A, Gonzalez-Lucena G, et al. Relationship of Plantar Fascia Thickness and Preoperative Pain, Function, and Quality of Life in Recalcitrant Plantar Fasciitis. Foot Ankle Int. 2018;39(8):930-4.
23. Mahowald S, Legge BS, Grady JF. The correlation between plantar fascia thickness and symptoms of plantar fasciitis. J Am Podiatr Med Assoc. 2011;101(5):385-9.
24. Uzel M, Cetinus E, Ekerbicer HC, Karaoguz A. The influence of athletic activity on the plantar fascia in healthy young adults. J Clin Ultrasound. 2006;34(1):17-21.
25. Koc TA, Bise CG, Neville C, Carreira D, Martin RL, McDonough CM. Heel Pain - Plantar Fasciitis: Revision 2023. J Orthop Sports Phys Ther. 2023;53(12):CPG1-39.
26. Pascual Huerta J, Alarcónn García JM. Effect of gender, age and anthropometric variables on plantar fascia thickness at different locations in asymptomatic subjects. Eur J Radiol. 2007;62(3):449-53.
27. Gadalla N, Kichouh M, Boulet C, Machiels F, De Mey J, De Maeseneer M. Sonographic evaluation of the plantar fascia in asymptomatic subjects. JBR-BTR. 2014;97(5):271-3.
28. Kirkpatrick J, Yassaie O, Mirjalili SA. The plantar calcaneal spur: a review of anatomy, histology, etiology and key associations. J Anat. 2017;230(6):743-51.

Artículos relacionados

Efectividad clínica y funcional del alargamiento de la musculatura posterior de la pierna: revisión sistemática

Rev. Esp. Pod. 2025; 36(2): 176-183 / DOI: 10.20986/revesppod.2025.1747/2025

Consecuencias de la dermatomiositis juvenil a nivel podológico. Revisión bibliográfica

Rev. Esp. Pod. 2025; 36(2): 164-169 / DOI: 10.20986/revesppod.2025.1731/2025

Implicaciones podológicas de las secuelas del síndrome de Guillain-Barré: revisión sistemática

Rev. Esp. Pod. 2025; 36(2): 156-163 / DOI: 10.20986/revesppod.2025.1742/2025

Revisión sistemática de la afectación podológica en el síndrome de Andrade

Rev. Esp. Pod. 2025; 36(2): 148-155 / DOI: 10.20986/revesppod.2025.1740/2025

Tratamiento quirúrgico de ganglión polinodular intratendinoso. Caso clínico

Rev. Esp. Pod. 2025; 36(2): 143-147 / DOI: 10.20986/revesppod.2025.1755/2025

Osteocondroma en la falange distal de un paciente pediátrico: reporte de caso

Rev. Esp. Pod. 2025; 36(2): 139-142 / DOI: 10.20986/revesppod.2025.1751/2025

Tratamiento quirúrgico de necrosis del primer dedo por septicemia: caso clínico

Rev. Esp. Pod. 2025; 36(2): 135-138 / DOI: 10.20986/revesppod.2025.1746/2025

Relación entre los parámetros de la marcha y el miedo a caerse en personas con fibromialgia

Rev. Esp. Pod. 2025; 36(2): 103-110 / DOI: 10.20986/revesppod.2025.1745/2025

Asociación entre la movilidad del primer radio del pie y el dolor lumbar: estudio observacional transversal

Rev. Esp. Pod. 2025; 36(2): 96-102 / DOI: 10.20986/revesppod.2025.1744/2025

Eficacia de las ondas de choque en el tratamiento de la fascitis plantar crónica: revisión bibliográfica

Rev. Esp. Pod. 2025; 36(1): 81-86 / DOI: 10.20986/revesppod.2025.1726/2025

Efectividad del uso de cemento óseo en el tratamiento de osteomielitis en pie diabético

Rev. Esp. Pod. 2025; 36(1): 67-74 / DOI: 10.20986/revesppod.2025.1718/2024

Molluscum pendulum en el pie. Caso clínico

Rev. Esp. Pod. 2025; 36(1): 54-58 / DOI: 10.20986/revesppod.2025.1728/2025

Carcinoma epidermoide asociado a onicocriptosis: caso clínico

Rev. Esp. Pod. 2025; 36(1): 48-53 / DOI: 10.20986/revesppod.2025.1729/2025

Variables determinantes en el dolor podal en jugadores de pádel. Análisis observacional

Rev. Esp. Pod. 2025; 36(1): 35-41 / DOI: 10.20986/revesppod.2025.1727/2025

Estudio comparativo de tres técnicas para la anestesia troncular: H de Frost y sus modificaciones

Rev. Esp. Pod. 2025; 36(1): 3-8 / DOI: 10.20986/revesppod.2025.1709/2024

El rol del podólogo en el manejo multidisciplinar del pie diabético: una necesidad en el sistema de salud

Rev. Esp. Pod. 2025; 36(1): 1-2 / DOI: 10.20986/revesppod.2025.1724/2025

Braquidactilia tipo B: a propósito de un caso poco frecuente

Rev. Esp. Pod. 2024; 35(2): 116-119 / DOI: 10.20986/revesppod.2024.1702/2024

Fasciotomía percutánea ecoguiada con aguja. Serie de casos

Rev. Esp. Pod. 2024; 35(2): 105-109 / DOI: 10.20986/revesppod.2024.1710/2024

Anatomía y sonopatología de la placa plantar metatarsofalángica

Rev. Esp. Pod. 2024; 35(1): 57-68 / DOI: 10.20986/revesppod.2024.1693/2024

Eficacia de la artroscopia en el hallux rígidus: una revisión sistemática

Rev. Esp. Pod. 2024; 35(1): 49-56 / DOI: 10.20986/revesppod.2024.1689/2024

Abordaje quirúrgico del pie reumático. Serie de casos

Rev. Esp. Pod. 2024; 35(1): 17-21 / DOI: 10.20986/revesppod.2024.1678/2023

La tenosinovitis ecográfica de tobillo está asociada a la alteración funcional del pie: un estudio transversal

Rev. Esp. Pod. 2024; 35(1): 11-16 / DOI: 10.20986/revesppod.2024.1692/2024

Herramientas de medición de la patología ungueal: revisión literaria

Rev. Esp. Pod. 2023; 34(2): 113-120 / DOI: 10.20986/revesppod.2023.1667/2023

Sospecha ecográfica de carcinoma basocelular. A propósito de un caso

Rev. Esp. Pod. 2023; 34(2): 109-112 / DOI: 10.20986/revesppod.2023.1675/2023

Lesiones de interés podológico en la práctica habitual de deportes de contacto

Rev. Esp. Pod. 2023; 34(2): 104-108 / DOI: 10.20986/revesppod.2023.1668/2023

Anomalías rotacionales en mujeres con hallux valgus. Estudio observacional

Rev. Esp. Pod. 2023; 34(2): 90-98 / DOI: 10.20986/revesppod.2023.1673/2023

Morfología y función del pie en pacientes con ciática. Un estudio descriptivo transversal

Rev. Esp. Pod. 2023; 34(2): 82-89 / DOI: 10.20986/revesppod.2023.1672/2023

Limitación de la flexión dorsal del tobillo y del hallux en nadadores de categoría máster

Rev. Esp. Pod. 2023; 34(2): 74-81 / DOI: 10.20986/revesppod.2023.1671/2023

Afectaciones del miembro inferior en sujetos que realizan kick-boxing: estudio descriptivo

Rev. Esp. Pod. 2023; 34(2): 69-73 / DOI: 10.20986/revesppod.2023.1669/2023

Mapeo sonográfico de los nervios de la cara medial del tobillo y del pie

Rev. Esp. Pod. 2023; 34(1): 52-57 / DOI: 10.20986/revesppod.2023.1665/2023

Tratamiento quirúrgico de una úlcera plantar en paciente con pie diabético. A propósito de un caso

Rev. Esp. Pod. 2023; 34(1): 47-51 / DOI: 10.20986/revesppod.2023.1658/2023

Influencia del tratamiento quirúrgico para el hallux abductus valgus en la movilidad del primer radio

Rev. Esp. Pod. 2023; 34(1): 13-18 / DOI: 10.20986/revesppod.2023.1650/2022

Estimación de la osificación de los huesos del pie sobre población extremeña. Estudio observacional

Rev. Esp. Pod. 2023; 34(1): 3-12 / DOI: 10.20986/revesppod.2023.1654/2022

Resolución quirúrgica de un sesamoideo interfalángico del hallux

Rev. Esp. Pod. 2022; 33(2): 122-127 / DOI: 10.20986/revesppod.2022.1645/2022

Reducción de presiones plantares dinámicas en el antepié plantar medial con calcetines biomecánicos

Rev. Esp. Pod. 2022; 33(2): 110-114 / DOI: 10.20986/revesppod.2022.1646/2022

Efecto de las ortesis plantares rígidas a medida en la fasciopatía plantar compresiva: serie de casos prospectiva

Rev. Esp. Pod. 2022; 33(2): 96-103 / DOI: 10.20986/revesppod.2022.1647/2022

Presiones plantares en dos modelos de calcetín con diferente separación de ondas tridimensionales

Rev. Esp. Pod. 2022; 33(2): 88-95 / DOI: 10.20986/revesppod.2022.1641/2022

Aplicación del ácido hialurónico en el tratamiento de las úlceras en el pie

Rev. Esp. Pod. 2022; 33(2): 77-78 / DOI: 10.20986/revesppod.2022.1648/2022

Actualización de nuevas técnicas de vendaje neuromuscular en podología

Rev. Esp. Pod. 2022; 33(1): 59-65 / DOI: 10.20986/revesppod.2022.1630/2022

Falso nódulo reumatoide en tercer dedo del pie izquierdo y su tratamiento quirúrgico. A propósito de un caso

Rev. Esp. Pod. 2022; 33(1): 54-58 / DOI: 10.20986/revesppod.2022.1628/2021

Caso clínico: angioleiomioma en el pie

Rev. Esp. Pod. 2022; 33(1): 50-53 / DOI: 10.20986/revesppod.2022.1622/2021

Dolor y postura del pie en pacientes con lupus eritematoso sistémico. Un estudio descriptivo

Rev. Esp. Pod. 2022; 33(1): 35-40 / DOI: 10.20986/revesppod.2022.1633/2022

Variación baropodométrica con la pérdida de peso: un estudio experimental

Rev. Esp. Pod. 2022; 33(1): 21-28 / DOI: 10.20986/revesppod.2022.1627/2021

Efectividad de las infiltraciones con colágeno para la fascitis plantar: ensayo clínico aleatorizado

Rev. Esp. Pod. 2022; 33(1): 14-20 / DOI: 10.20986/revesppod.2022.1608/2021

Talectomía. A propósito de un caso

Rev. Esp. Pod. 2021; 32(2): 140-145 / DOI: 10.20986/revesppod.2021.1616/2021

Test de estudio biomecánico en niños y adolescentes: una revisión sistemática

Rev. Esp. Pod. 2021; 32(2): 132-139 / DOI: 10.20986/revesppod.2021.1611/2021

Movimiento del primer radio en sujetos con hallux limitus vs. sujetos con pies normales
III Premio Virginia Novel

Rev. Esp. Pod. 2021; 32(2): 116-122 / DOI: 10.20986/revesppod.2021.1621/2021

Simetría en la temperatura podal en pacientes diabéticos y su relación con el índice postural del pie

Rev. Esp. Pod. 2021; 32(2): 106-115 / DOI: 10.20986/revesppod.2021.1607/2021

Reducción de las presiones plantares dinámicas en un calcetín experimental. Un estudio preliminar

Rev. Esp. Pod. 2021; 32(2): 86-92 / DOI: 10.20986/revesppod.2021.1619/2021

Temperatura del pie en las diferentes fases del ciclo menstrual

Rev. Esp. Pod. 2021; 32(2): 79-85 / DOI: 10.20986/revesppod.2021.1606/2021

Fibroqueratoma digital adquirido multirramificado. Caso clínico

Rev. Esp. Pod. 2021; 32(1): 58-62 / DOI: 10.20986/revesppod.2021.1578/2020

Eficacia de los tratamientos ortopodológicos en pacientes con apofisitis calcánea. Revisión sistemática

Rev. Esp. Pod. 2021; 32(1): 42-48 / DOI: 10.20986/revesppod.2021.1593/2020

Estudio radiográfico sobre la movilidad del primer radio en los planos sagital y frontal

Rev. Esp. Pod. 2021; 32(1): 27-35 / DOI: 10.20986/revesppod.2021.1600/2021

Análisis descriptivo del movimiento 3D del pie mediante sensores inerciales: comparación entre extremidades

Rev. Esp. Pod. 2021; 32(1): 13-17 / DOI: 10.20986/revesppod.2021.1594/2020

Relación entre la flexión dorsal de tobillo y la flexibilidad de la columna medial

Rev. Esp. Pod. 2021; 32(1): 7-12 / DOI: 10.20986/revesppod.2021.1572/2020

Ángulo de Meschan a través de la fotografía clínica: estudio piloto

Rev. Esp. Pod. 2021; 32(1): 2-6 / DOI: 10.20986/revesppod.2021.1565/2020

Reconstrucción quirúrgica de un caso clínico complejo de neuroartropatía de Charcot

Rev. Esp. Pod. 2020; 31(2): 117-125 / DOI: 10.20986/revesppod.2020.1569/2020

Cirugía metatarsal mínimamente invasiva en la metatarsalgia iatrogénica. Serie de casos retrospectiva

Rev. Esp. Pod. 2020; 31(2): 93-101 / DOI: 10.20986/revesppod.2020.1574/2020

Estudio de la ansiedad en el paciente prequirúrgico en cirugía del pie

Rev. Esp. Pod. 2020; 31(2): 87-92 / DOI: 10.20986/revesppod.2020.1562/2020

Estabilidad dinámica de la pelvis y su relación con las presiones plantares

Rev. Esp. Pod. 2020; 31(2): 65-70 / DOI: 10.20986/revesppod.2020.1558/2020

El impacto de los pies para la salud

Rev. Esp. Pod. 2020; 31(2): 63-64 / DOI: 10.20986/revesppod.2020.1586/2020

Abordaje multidisciplinar de úlceras neuroisquémicas; a propósito de un caso

Rev. Esp. Pod. 2020; 31(1): 55-61 / DOI: 10.20986/revesppod.2020.1573/2020

Estudio sobre la efectividad de las ortesis plantares en las patologías más frecuentes del pie

Rev. Esp. Pod. 2020; 31(1): 16-23 / DOI: 10.20986/revesppod.2020.1557/2020

Técnica quirúrgica “Ruiz”. Innovación para corregir la uña involuta y la onicocriptosis

Rev. Esp. Pod. 2020; 31(1): 10-15 / DOI: 10.20986/revesppod.2020.1550/2019

Punción ecoguiada frente a la punción ciega en el bloqueo nervioso del pie: revisión bibliográfica narrativa

Rev. Esp. Pod. 2019; 30(2): 101-108 / DOI: 10.20986/revesppod.2019.1548/2019

Prestación sanitaria de calzado ortopédico en un área hospitalaria: Estudio transversal

Rev. Esp. Pod. 2019; 30(2): 81-86 / DOI: 10.20986/revesppod.2019.1547/2019

Efectos del vendaje Low-Dye sobre el pie. Revisión narrativa

Rev. Esp. Pod. 2019; 30(1): 38-52 / DOI: 10.20986/revesppod.2019.1526/2018

Extracción de tofos gotosos. Caso clínico.

Rev. Esp. Pod. 2019; 30(1): 24-30 / DOI: 10.20986/revesppod.2019.1515/2018

Valores normativos para determinar un pie plano o cavo

Rev. Esp. Pod. 2019; 30(1): 15-23 / DOI: 10.20986/revesppod.2019.1540/2019

Prevención de las infecciones en el pie

Rev Esp Pod 2010;21:247-52

Infecciones bacterianas de la piel

Rev Esp Pod 2010;21:220-4

Infecciones en el pie. Introducción

Rev Esp Pod 2010;21:210-1

Charcot - Marie - Tooth

Rev Esp Pod 2010;21:146-51

Neuroma de Morton

Rev Esp Pod 2010;21:114-7

Tratamiento de la fascitis plantar

Rev Esp Pod 2010;21:110-3

Arteriopatía periférica. Pies en riesgo

Rev Esp Pod 2010;21:100-2

Fitoterapia y sus aplicaciones

Rev Esp Pod 2011;22:258-67

Podología preventiva y comunitaria

Rev Esp Pod 2011;22:195-200

Biomecánica en las AFOS. AFO PODIÁTRICAS.

Rev Esp Pod 2012;23:184-94

La magnetoterapia en el pie

Rev Esp Pod 2012;23:132-6

Fractura de estrés de sesamoideo medial

Rev Esp Pod 2012;23:112-4

Fibroqueratoma digital. Caso clínico

Rev Esp Pod 2012;23:76-8

Periostitis tibial. Tratamiento físico

Rev Esp Pod 2012;23:62-6

El Heberprot-P

Rev Esp Pod 2015;26:12-4

Lesiones acrómicas en el pie: Vitíligo

Rev Esp Pod 2014;25:52-4

El Heberprot-P

Rev Esp Pod 2015;26:12-4

Modelo de estrés de tejidos. Aplicaciones clínicas en la patología del pie

Rev. Esp. Pod. 2018; 29(2): 101-112 / DOI: 10.20986/revesppod.2018.1531/2018

Plastia en “S” para la escisión de una lesión circular en el hallux: caso clínico

Rev. Esp. Pod. 2018; 29(2): 94-100 / DOI: 10.20986/revesppod.2018.1525/2018

Frecuencia de onicocriptosis recurrente en población diabética derivada a una consulta de podología

Rev. Esp. Pod. 2018; 29(2): 75-80 / DOI: 10.20986/revesppod.2018.1523/2018

Podología y dinámica: análisis del impulso

Rev Esp Podol. 2018;29(Supl. 2):36-41

Obtención de moldes para pie valgo

Rev Esp Podol. 2018;29(Supl. 2):17-19

Cirugía del pie plano: una visión personal / Flatfoot surgery: a personal view

Rev Esp Podol. 2018;29(1):49-59 / DOI: 10.20986/revesppod.2018.1516/2018

Instrucciones para citar

Montes Salas R, Mahillo Durán R, Castillo López J. Correlación entre el grosor de la fascia plantar, la función del pie y el nivel de actividad física en hombres con fasciopatía plantar . Rev Esp Pod 2025; 36(1): 29-34 / DOI: 1020986/revesppod20251720/2024


Descargar a un gestores de citas

Descargue la cita de este artículo haciendo clic en uno de los siguientes gestores de citas:

Métrica

Este artículo ha sido visitado 15441 veces.
Este artículo ha sido descargado 69 veces.

Estadísticas de Dimensions


Estadísticas de Plum Analytics

Ficha Técnica

Recibido: 01/12/2024

Aceptado: 22/01/2025

Prepublicado: 23/06/2025

Publicado: 07/07/2025

Tiempo de revisión del artículo: 51 días

Tiempo de prepublicación: 204 días

Tiempo de edición del artículo: 218 días


Compartir

Este artículo aun no tiene valoraciones .
Valoración del lector:
Valora este artículo:
2026 Revista Española de Podología
ISSN: 0210-1238   e-ISSN: 2695-463X

      Indexada en: