Año 2023 / Volumen 34 / Número 2

Casos Clínicos

Sospecha ecográfica de carcinoma basocelular. A propósito de un caso
Ultrasound suspicion of basal cell carcinoma. Case Report

Rev. Esp. Pod. 2023; 34(2): 109-112 / DOI: 10.20986/revesppod.2023.1675/2023

Javier Navarro González-Moncayo, Paula Ventosa Ruiz, Inmaculada García Ruiz


RESUMEN

El carcinoma basocelular es el proceso neoformativo maligno que afecta más frecuentemente a la piel. Pese a que el diagnóstico debe ser siempre mediante estudio histopatológico, la ecografía puede sugerir la sospecha de este tipo de tumor. Se presenta un caso clínico en el que se sospechó de esta patología debido a la imagen ecográfica, posteriormente confirmado mediante el estudio histopatológico de la lesión.



ABSTRACT

Basal cell carcinoma is the malignant neoformative process that most frequently affects the skin. Although the diagnosis must always be made through a histopathological study, ultrasound may suggest suspicion of this type of tumor. A clinical case is presented in which this disorder was suspected due to ultrasound image, later confirmed by the histopathological study of the lesion.





Artículo Completo


DOI: http://dx.doi.org/10.20986/revesppod.2023.1675/2023
NOTA CLÍNICA

Sospecha ecográfica de carcinoma basocelular. A propósito de un caso
Ultrasound suspicion of basal cell carcinoma. Case Report

Javier Navarro González-Moncayo1
Paula Ventosa Ruiz1
Inmaculada García Ruiz1

1Clínica Moncayo. Albacete, España

Resumen

El carcinoma basocelular es el proceso neoformativo maligno que afecta más frecuentemente a la piel. Pese a que el diagnóstico debe ser siempre mediante estudio histopatológico, la ecografía puede sugerir la sospecha de este tipo de tumor. Se presenta un caso clínico en el que se sospechó de esta patología debido a la imagen ecográfica, posteriormente confirmado mediante el estudio histopatológico de la lesión.

Palabras clave: Carcinoma basocelular, ecografía, cirugía.

Abstract

Basal cell carcinoma is the malignant neoformative process that most frequently affects the skin. Although the diagnosis must always be made through a histopathological study, ultrasound may suggest suspicion of this type of tumor. A clinical case is presented in which this disorder was suspected due to ultrasound image, later confirmed by the histopathological study of the lesion.

Keywords: Basal cell carcinoma, ultrasound, surgery.

Recibido: 06-09-2023
Aceptado: 28-11-2023

Correspondencia: Javier Navarro González-Moncayo
javynavarro@gmail.com

Introducción

La enfermedad venosa crónica es una patología común del sistema circulatorio. Se relaciona con la hipertensión venosa, que producirá una serie de consecuencias como es la reducción del retorno sanguíneo y, en consecuencia, hipoxia, inflamación y acúmulo de sangre(1). La presencia de úlceras de esta etiología se considera el estadio más avanzado de la insuficiencia venosa crónica(2), y tiene como localización más frecuente la porción supramaleolar interna de las extremidades inferiores(3).
El carcinoma basocelular (CBC) es la neoplasia maligna derivada de la epidermis más común entre los diferentes tipos de cáncer de piel, representando entre un 75-80 % de estos(4). Este tipo de lesión destaca entre las malignas, por ser uno de los tumores con mayor número de mutaciones en el humano, encontrándose hasta 65 mutaciones diferentes, inducidas en gran parte por la radiación ultravioleta (UV) procedente del sol(5). El diagnóstico de este tipo de lesión se debe realizar mediante estudio histopatológico(5), sin embargo, el estudio mediante dermatoscopia presenta, en manos expertas, una sensibilidad del 85 % y una especificidad del 95 %(5).
Se ha descrito en diversas publicaciones la utilidad de la ecografía en la clasificación de la lesión y la delimitación de los bordes de manera prequirúrgica para la extirpación completa exitosa de este tipo de neoplasia(4,6,7,8,9). Se han encontrado hallazgos ecográficos que pueden hacer sospechar la etiología de la lesión tras la realización de esta prueba, debiendo ser confirmada en cualquier caso mediante estudio histopatológico(6). Este hecho puede ayudar a dar un diagnóstico de presunción a lesiones en las que este no esté claro de manera inicial.
Existen distintos tipos de carcinoma basocelular, con diferentes características tanto clínicas como ecográficas, existiendo múltiples variaciones en la bibliografía respecto a su clasificación (6,10,11,12,13,14) (Tabla 1).

Tabla I. Tipos de carcinomas basocelulares.


El objetivo de este trabajo es presentar un caso clínico de un paciente con una lesión ulcerosa diagnosticada previamente como úlcera venosa, y con sospecha gracias a la ecografía de carcinoma basocelular confirmada posteriormente mediante estudio histopatológico.

Caso clínico

Acude a consulta un paciente, varón, de 66 años, con presencia de telangiectasias, venas reticulares y troncos varicosos en extremidades inferiores. No refiere alergias ni emplear ningún medicamento de manera habitual.
Presenta lesión ulcerosa de 1.4 cm de diámetro supramaleolar tibial en extremidad inferior derecha, con tejido sangrante al roce y ligeramente sobreelevada, de 18 meses de evolución (Figura 1). Lesión no exudativa ni dolorosa. Había sido tratado previamente con antibioterapia tópica y sistémica pautada por otros profesionales.


Figura 1. Lesión ulcerosa.

Se realiza exploración ecográfica vascular empleando para ello un equipo Alpinion E-cube 7 con una sonda lineal de 3-12 mHz, con una frecuencia de 12 mHz en la que destaca insuficiencia venosa y onda trifásica en arterias pedia y tibial posterior. Se realiza ecografía transulcerosa (Figura 2) mostrando área anecoica con punteado hiperecoico en su interior y con leve refuerzo acústico posterior, que afecta a la totalidad de la epidermis y penetra en dermis. Lesión bien delimitada, con ausencia de doppler en el interior de esta (Figura 3). Presenta una extensión ecográfica de 14 x 3.4 mm.


Figura 2. Ecografía transulcerosa en la que se observa la imagen anecoica con el punteado hiperecóico.


Figura 3. Ecografía transulcerosa con ausencia de doppler en el interior de la lesión.

Se sospecha que la lesión pueda ser maligna por los hallazgos ecográficos y las características durante la exploración, por lo que se decide realizar biopsia mediante punch de la periferia de esta, tras aplicar anestesia local de la zona con mepivacaína 2 %. Remitimos uno de los fragmentos cutáneos al laboratorio de anatomía patológica y otro a microbiología.
Se instaura terapia compresiva, con vendaje bicapa de tracción corta, así como cura con apósitos locales de alginato de calcio para control de la hemorragia. Durante el tratamiento hasta la llegada del resultado se observa una disminución del tejido sobreelevado y una ausencia de cicatrización de la región en la que se extrajo la muestra para el estudio histopatológico.
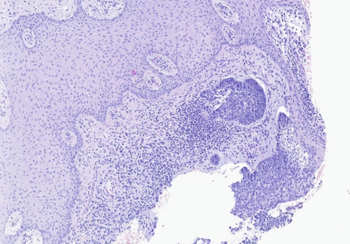
El resultado de anatomía patológica confirmó la sospecha de malignidad en el material remitido, informando de lesión compatible con carcinoma basocelular de patrón nodular (Figura 4), por lo que se deriva a servicio de dermatología para su evaluación completa y tratamiento quirúrgico con valoración de posterior tratamiento coadyuvante, si procede.


Figura 4. Imagen anatomopatológica de la lesión tumoral.

Discusión

El carcinoma basocelular (CBC) es el tumor maligno más común en la población caucásica, representando el 75 % de todos los cánceres de piel. El riesgo promedio de una persona de piel blanca de desarrollar CBC es de aproximadamente el 30 %5.
La exposición a la radiación UV es el factor de riesgo ambiental más importante, además de otros factores como las quemaduras solares infantiles, antecedentes de cáncer de piel, inmunosupresión crónica, etc.(14). Las formas clínicas en las que se divide el CBC son: superficial, nodular, infiltrativo, micronodular, esclerodermiforme o morfeiforme, siendo el nodular el más común(6).
La dermatoscopia, el examen histológico y la inspección directa son las herramientas diagnósticas indispensables, siendo la biopsia de piel esencial para confirmar el diagnóstico y estimar el riesgo, pese que únicamente nos permite realizar un análisis de un fragmento limitado de la lesión (6,12).
Por otra parte, la ecografía se ha demostrado como un método eficaz para la evaluación de la lesión, dado que es una técnica poco invasiva, aportando gran información a tiempo real acerca de tamaño y delimitación de la lesión(6). Al aportarnos una estimación de su dimensión nos permitirá mejorar los márgenes quirúrgicos y darnos una visión más global de la lesión(11). En la ecografía podemos observar los CBC como una lesión sólida de patrón hipoecoico, con bordes irregulares, pero bien definidos, que suele localizarse en la unión dermo-epidérmica; como característica propia del carcinoma basocelular, la lesión cuenta con puntos hiperecoicos intralesionales que no suelen tener refuerzo acústico posterior. El estudio doppler de las lesiones no suele mostrar una alta vascularización(6,8).
El CBC suele tener buen pronóstico, dado su bajo potencial metastásico. Para su correcto tratamiento debemos tener en cuenta aspectos importantes como su localización anatómica y características histopatológicas, siendo la escisión quirúrgica el tratamiento estándar para este tipo de lesiones(12,14).
En lesiones de complicado diagnóstico, como este caso en particu­lar, en la que se barajaron diferentes hipótesis, como úlcera venosa, cabe destacar la importancia de la ecografía como herramienta diagnóstica por ser accesible, inocua y económica, además de permitirnos valorar con facilidad el tamaño de la lesión. El CBC presenta unas características propias muy marcadas que nos facilita su diagnóstico mediante ecografía en casos en los que dermatoscópicamente no sea objetivable.

Conflicto de intereses

Ninguno.

Financiación

Ninguna.

Contribución de los autores

Concepción y diseño del estudio: J. N. G.-M., P. V. R.
Recogida de datos: J. N. G.-M., P. V. R., I. G. R.
Análisis e interpretación de los resultados: J. N. G.-M., P. V. R.
Creación, redacción y preparación del boceto inicial de trabajo: J. N. G.-M., P. V. R., I. G. R.
Revisión final (revisión crítica y comentarios) y aceptación final: J. N. G.-M., P. V. R.

Bibliografía

  1. Mansilha A, Sousa J. Pathophysiological Mechanisms of Chronic Venous Disease and Implications for Venoactive Drug Therapy. Int J Mol Sci. 2018;19(6):1669. DOI: 10.3390/ijms19061669.
  2. Conde Montero E, Serra Perrucho N, de la Cueva Dobao P. Theory and Practice of Compression Therapy for Treating and Preventing Venous Ulcers. Actas Dermosifiliogr. 2020;111(10):829-34. DOI: 10.1016/j.ad.2020.03.007.
  3. Mo?cicka P, Szewczyk MT, Cwajda-Bia?asik J, Jawie? A. The role of compression therapy in the treatment of venous leg ulcers. Adv Clin Exp Med. 2019;28(6):847-52. DOI: 10.17219/acem/78768.
  4. Barcaui EO, Carvalho ACP, Valiante PM, Piñeiro-Maceira J, Barcaui CB. High-frequency (22-MHz) ultrasound for assessing the depth of basal cell carcinoma invasion. Skin Res Technol. 2021;27(5):676-81. DOI: 10.1111/srt.12999.
  5. Peris K, Fargnoli MC, Garbe C, Kaufmann R, Bastholt L, Seguin NB, et al. Diagnosis and treatment of basal cell carcinoma: European consensus-based interdisciplinary guidelines. Eur J Cancer. 2019;118:10-34. DOI: 10.1016/j.ejca.2019.06.003.
  6. Hernández-Ibáñez C, Blazquez-Sánchez N, Aguilar-Bernier M, Fúnez-Liébana R, Rivas-Ruiz F, de Troya-Martín M. Usefulness of High-Frequency Ultrasound in the Classification of Histologic Subtypes of Primary Basal Cell Carcinoma. Actas Dermosifiliogr. 2017;108(1):42-51. DOI: 10.1016/j.ad.2016.08.002.
  7. Qin J, Wang J, Zhu Q, Liu J, Gao Y, Wang Y, et al. Usefulness of high-frequency ultrasound in differentiating basal cell carcinoma from common benign pigmented skin tumors. Skin Research and Technology. 2021;27(5):766-73. DOI: 10.1111/srt.13012.
  8. Laverde-Saad A, Simard A, Nassim D, Jfri A, Alajmi A, O’Brien E, et al. Performance of Ultrasound for Identifying Morphological Characteristics and Thickness of Cutaneous Basal Cell Carcinoma: A Systematic Review. Dermatology. 2022;238(4):692-710. DOI: 10.1159/000520751.
  9. Wang SQ, Liu J, Zhu QL, Zhao CY, Qu T, Li F, et al. High-frequency ultrasound features of basal cell carcinoma and its association with histological recurrence risk. Chin Med J. 2019;132(17):2021-6. DOI: 10.1097/CM9.0000000000000369.
  10. Cristy D, Domínguez D, Jessica D, Celis G. Carcinoma basocelular. Un reto actual para el dermatólogo Basal cell carcinoma. An actual challenge for the dermatologist. Rev Med Electron. 2018;40(1).
  11. Hernández-Ibáñez C, Blazquez-Sánchez N, Aguilar-Bernier M, Fúnez-Liébana R, Rivas-Ruiz F, de Troya-Martín M. Usefulness of High-Frequency Ultrasound in the Classification of Histologic Subtypes of Primary Basal Cell Carcinoma. Actas Dermosifiliogr. 2017;108(1):42-51. DOI: 10.1016/j.ad.2016.08.002.
  12. Tanese K. Diagnosis and Management of Basal Cell Carcinoma. Curr Treat Options Oncol. 2019;20(2):13. DOI: 10.1007/s11864-019-0610-0.
  13. Tchanque-Fossuo CN, Millsop JW, Johnson MA, Dahle SE, Isseroff RR. Ulcerated Basal Cell Carcinomas Masquerading as Venous Leg Ulcers. Adv Skin Wound Care. 2018;31(3):130-4. DOI: 10.1097/01.ASW.0000530068.44631.dc.
  14. Kim DP, Kus KJB, Ruiz E. Basal Cell Carcinoma Review. Vol. 33, Hematology/Oncology Clinics of North America. W.B. Saunders; 2019. p. 13-24. DOI: 10.1016/j.hoc.2018.09.004.

Nuevo comentario

Código de seguridad:
CAPTCHA code image
Speak the codeChange the code
 

Comentarios

No hay comentarios para este artículo.

Bibliografía

1. Mansilha A, Sousa J. Pathophysiological Mechanisms of Chronic Venous Disease and Implications for Venoactive Drug Therapy. Int J Mol Sci. 2018;19(6):1669.
2. Conde Montero E, Serra Perrucho N, de la Cueva Dobao P. Theory and Practice of Compression Therapy for Treating and Preventing Venous Ulcers. Actas Dermosifiliogr. 2020;111(10):829-34.
3. Mościcka P, Szewczyk MT, Cwajda-Białasik J, Jawień A. The role of compression therapy in the treatment of venous leg ulcers. Adv Clin Exp Med. 2019;28(6):847-52.
4. Barcaui EO, Carvalho ACP, Valiante PM, Piñeiro-Maceira J, Barcaui CB. High-frequency (22-MHz) ultrasound for assessing the depth of basal cell carcinoma invasion. Skin Res Technol. 2021;27(5):676-81.
5. Peris K, Fargnoli MC, Garbe C, Kaufmann R, Bastholt L, Seguin NB, et al. Diagnosis and treatment of basal cell carcinoma: European consensus-based interdisciplinary guidelines. Eur J Cancer. 2019;118:10-34.
6. Hernández-Ibáñez C, Blazquez-Sánchez N, Aguilar-Bernier M, Fúnez-Liébana R, Rivas-Ruiz F, de Troya-Martín M. Usefulness of High-Frequency Ultrasound in the Classification of Histologic Subtypes of Primary Basal Cell Carcinoma. Actas Dermosifiliogr. 2017;108(1):42-51.
7. Qin J, Wang J, Zhu Q, Liu J, Gao Y, Wang Y, et al. Usefulness of high-frequency ultrasound in differentiating basal cell carcinoma from common benign pigmented skin tumors. Skin Research and Technology. 2021;27(5):766-73.
8. Laverde-Saad A, Simard A, Nassim D, Jfri A, Alajmi A, O’Brien E, et al. Performance of Ultrasound for Identifying Morphological Characteristics and Thickness of Cutaneous Basal Cell Carcinoma: A Systematic Review. Dermatology. 2022;238(4):692-710.
9. Wang SQ, Liu J, Zhu QL, Zhao CY, Qu T, Li F, et al. High-frequency ultrasound features of basal cell carcinoma and its association with histological recurrence risk. Chin Med J. 2019;132(17):2021-6.
10. Cristy D, Domínguez D, Jessica D, Celis G. Carcinoma basocelular. Un reto actual para el dermatólogo Basal cell carcinoma. An actual challenge for the dermatologist. Rev Med Electron. 2018;40(1).
11. Hernández-Ibáñez C, Blazquez-Sánchez N, Aguilar-Bernier M, Fúnez-Liébana R, Rivas-Ruiz F, de Troya-Martín M. Usefulness of High-Frequency Ultrasound in the Classification of Histologic Subtypes of Primary Basal Cell Carcinoma. Actas Dermosifiliogr. 2017;108(1):42-51.
12. Tanese K. Diagnosis and Management of Basal Cell Carcinoma. Curr Treat Options Oncol. 2019;20(2):13.
13. Tchanque-Fossuo CN, Millsop JW, Johnson MA, Dahle SE, Isseroff RR. Ulcerated Basal Cell Carcinomas Masquerading as Venous Leg Ulcers. Adv Skin Wound Care. 2018;31(3):130-4.
14. Kim DP, Kus KJB, Ruiz E. Basal Cell Carcinoma Review. Vol. 33, Hematology/Oncology Clinics of North America. W.B. Saunders; 2019. p. 13-24.

Artículos relacionados

Fasciotomía percutánea ecoguiada con aguja. Serie de casos

Rev. Esp. Pod. 2024; 35(2): 105-109 / DOI: 10.20986/revesppod.2024.1710/2024

Anatomía y sonopatología de la placa plantar metatarsofalángica

Rev. Esp. Pod. 2024; 35(1): 57-68 / DOI: 10.20986/revesppod.2024.1693/2024

Eficacia de la artroscopia en el hallux rígidus: una revisión sistemática

Rev. Esp. Pod. 2024; 35(1): 49-56 / DOI: 10.20986/revesppod.2024.1689/2024

Mapeo sonográfico de los nervios de la cara medial del tobillo y del pie

Rev. Esp. Pod. 2023; 34(1): 52-57 / DOI: 10.20986/revesppod.2023.1665/2023

Influencia del tratamiento quirúrgico para el hallux abductus valgus en la movilidad del primer radio

Rev. Esp. Pod. 2023; 34(1): 13-18 / DOI: 10.20986/revesppod.2023.1650/2022

Efecto de las ortesis plantares rígidas a medida en la fasciopatía plantar compresiva: serie de casos prospectiva

Rev. Esp. Pod. 2022; 33(2): 96-103 / DOI: 10.20986/revesppod.2022.1647/2022

Manejo perioperatorio del paciente diabético en cirugía podológica

Rev. Esp. Pod. 2020; 31(2): 133-141 / DOI: 10.20986/revesppod.2020.1590/2020

Tratamiento de la fascitis plantar

Rev Esp Pod 2010;21:110-3

Competencias profesionales del podólogo

Rev Esp Pod 2015;26:38-41

Instrucciones para citar

Navarro González-Moncayo J, Ventosa Ruiz P, García Ruiz I. Sospecha ecográfica de carcinoma basocelular. A propósito de un caso. Rev Esp Pod 2023; 34(2): 109-112 / DOI: 1020986/revesppod20231675/2023


Descargar a un gestores de citas

Descargue la cita de este artículo haciendo clic en uno de los siguientes gestores de citas:

Métrica

Este artículo ha sido visitado 18521 veces.
Este artículo ha sido descargado 59 veces.

Estadísticas de Dimensions


Estadísticas de Plum Analytics

Ficha Técnica

Recibido: 06/09/2023

Aceptado: 28/11/2023

Prepublicado: 22/12/2023

Publicado: 29/12/2023

Tiempo de revisión del artículo: 78 días

Tiempo de prepublicación: 107 días

Tiempo de edición del artículo: 114 días


Compartir

Este artículo aun no tiene valoraciones .
Valoración del lector:
Valora este artículo:
2025 Revista Española de Podología
ISSN: 0210-1238   e-ISSN: 2695-463X

      Indexada en: